A patient came to us needing a complete smile makeover after receiving poor dental work elsewhere. Our team meticulously removed their old restorations and created a brand new smile. Through gum correction and composite veneers, we corrected their smile, reshaped their lips, and gave them a beautiful, natural result.
A Balanced Look with Gum and Veneer Correction
With a combination of Gum recontouring and composite veneers, her smile was corrected. After the procedure, her lips became more defined, creating a harmonious and balanced look.
A Flawless Smile Makeover with Crowns and Composite Veneers
The smile was corrected using a combination of a metal-free crown and composite veneers, transforming it from a negative to a positive and more appealing smile.
Transforming Smiles: Our Most Challenging Case
This was one of our most challenging cases. Our team successfully created a new smile using gingival recontouring to reshape the gum line and veneers to improve the teeth's appearance. By combining these two procedures, we were able to create a beautiful, natural-looking smile.
Harmonious Smile: Correcting a Gummy Smile with Crowns & Veneers
The gummy smile was corrected using a combination of metal-free ceramic crowns and composite veneers. As a result, both the upper and lower lips became more complementary, creating a balanced and harmonious look.
A new smile with Composite veneers crowns and bridges
Composite veneers were used to correct a gummy smile and close a gap between the patient's teeth. This procedure is a less invasive and more affordable alternative to traditional orthodontic treatments, and it successfully restored the patient's confidence and smile.
A patient’s smile makeover at Dr. Cherian’s dental clinic, showcasing the dramatic results of a single metal-free crown and veneers to correct teeth and close a gap
A patient’s smile makeover at Dr. Cherian’s dental clinic, showcasing the dramatic results of a single metal-free crown and veneers to correct teeth and close a gap
A patient’s smile makeover at Dr. Cherian’s dental clinic, showcasing the dramatic results of a single metal-free crown and veneers to correct teeth and close a gap
A patient’s smile makeover at Dr. Cherian’s dental clinic, showcasing the dramatic results of a single metal-free crown and veneers to correct teeth and close a gap
An Affordable Alternative for a Perfect Smile
A gummy smile and a gap were corrected using metal-free ceramic crowns and composite veneers.
A patient’s smile makeover at Dr. Cherian’s dental clinic, showcasing the dramatic results of a single metal-free crown and veneers to correct teeth and close a gap
A patient’s smile makeover at Dr. Cherian’s dental clinic, showcasing the dramatic results of a single metal-free crown and veneers to correct teeth and close a gap
A Complete Smile Makeover: Correcting Gaps and Defining Lips
New smile was created using composite veneers and a metal-free crown to close the gap. The procedure also resulted in a well-defined lip shape and a positive smile curve.
Before and after photo of a smile correction case at Dr. Cherian’s dental clinic in Kochi, Kerala. The treatment involved a metal-free crown and veneers to close a front tooth gap.
Before and after photo of a smile correction case at Dr. Cherian’s dental clinic in Kochi, Kerala. The treatment involved a metal-free crown and veneers to close a front tooth gap.
Before and after photo of a smile correction case at Dr. Cherian’s dental clinic in Kochi, Kerala. The treatment involved a metal-free crown and veneers to close a front tooth gap.
Before and after photo of a smile correction case at Dr. Cherian’s dental clinic in Kochi, Kerala. The treatment involved a metal-free crown and veneers to close a front tooth gap.
Enhancing a Smile: The Final Touch with Gum Recontouring & Veneers
The patient's smile was initially corrected elsewhere, but our team enhanced it with gum recontouring and composite veneers. This procedure provided proper lip support, resulting in a better-shaped upper lip and a more confident smile for the patient.
From Corrected to Confident: A Smile Refined
Gummy smile correction using metal free ceramic crowns and composite veneers , both lips became complimented each other
Before and after photo of a smile design case at Dr. Cherian’s dental clinic in Kochi, showing the correction of a gummy smile, veneers, and the closure of gaps.
Smile makeover at Dr. Cherian’s dental clinic, showcasing the dramatic results of gum recontouring and porcelain veneers for a new, beautiful smile.
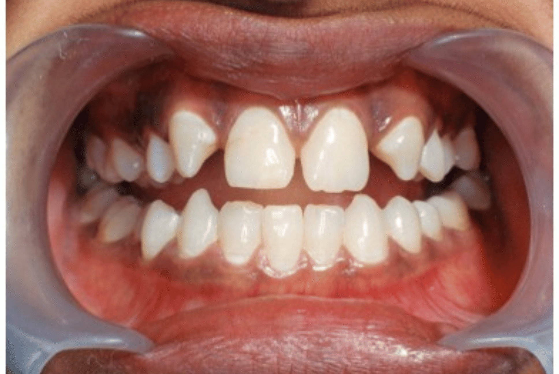
From Gaps and Gums to Grins: A Confident New Smile
Composite veneers were used to correct the patient's gummy smile and close the gap between their teeth.
Before and after photo of a smile design case at Dr. Cherian’s dental clinic in Kochi, showing the correction of a gummy smile, veneers, and the closure of gaps.
A Complete Smile Makeover: Correcting Gaps and Defining Lips
A new smile was created using composite veneers and a metal-free crown to close the gap. The procedure also resulted in a well-defined lip shape and a positive smile curve.
A patient’s smile transformed at Dr. Cherian’s clinic in Kochi after a gummy smile correction and the application of dental veneers to close gaps
A patient’s smile transformed at Dr. Cherian’s clinic in Kochi after a gummy smile correction and the application of dental veneers to close gaps
From Gaps and Gums to Grins: A Confident New Smile
Composite veneers were used to correct the patient's gummy smile and close the gap between their teeth.